오늘은 사랑니 발치 비용에 대해 알아보도록 하겠습니다.
사랑니란 치아 중 가장 안쪽에 위치해 있습니다. 사랑니는 입안에서 가장 늦게 자라나는 치아로 사랑을 경험하는 나이쯔음에 생긴다고해서 사랑니라고 불린다고 합니다. 전문의학 용어로는 제 3대 구치 또는 지치라고 불립니다. 얼굴의 중심, 가운데 앞니 기준으로 좌우로 8번째 자리에 있다고 합니다.

유치에는 존재하지 않고, 영구치가 나기 시작하고도 한참후에 나온다고 합니다. 평균적으로 17~20세쯤 맹출하는데 60세 맹출하는 사람도 있다고 합니다. 선천적으로 없거나 일부 1~3개만 나는 사람도 있다고 합니다.

사랑니 꼭 뽑아야할까?
불완전하게 맹출되어있거나 염증 충치가 심하게 진행되지않았다면 굳이 발치할 필요는 없다고 합니다. 가끔 어금니가 파절되거나 손실 되는 경우나 치료가 시급하거나 충치로 인해 어금니가 손상되었을 경우 자가 치아 이식술을 시행하는데, 이때 사랑니를 옮겨 심으면 자가치아를 사용하기 때문에 치료비용, 기간 등이 줄어들고 90%이상의 높은 성공률을 보인다고 합니다.
꼭 뽑아야하는 경우
사랑니 주위에 염증이 발생했거나 통증, 두통을 느끼거나 충치가 많이 진행된 경우에는 꼭 뽑아야하고 이 경우가 아니더라도 기울거나 누워있는 경우에도 발치를 하는게 좋다고 합니다.

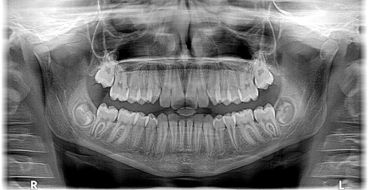
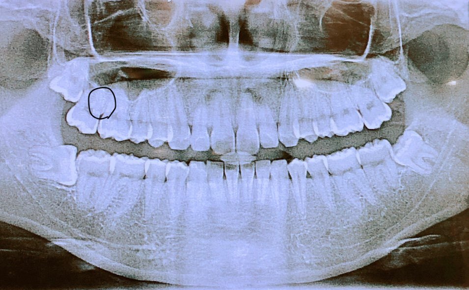
위 사진은 실제로 제 치아사진입니다. 윗 사랑니들은 나름 일자로 잘 나있으나 사진으로 왼쪽치아는 누워있는게 보이시죠? 이렇게 누워있으면 옆에 어금니 치아를 밀어내서 치열이 엉망이 된다고 합니다. 그래서 뽑아주는게 좋다고 합니다.
저 같은 경우는 사랑니를 덮고있던 잇몸이 떨어져나가면서 그 사이로 음식물들이 끼어서 치과에 방문했더니 발치하자!라고 해서 발치했습니다만, 약 1시간이 소요되었습니다. 개인적인 생각으로는 사랑니는 좀 잘 뽑는데 가서 하시는게 좋을 것 같습니다. 1시간 동안 입벌리고 있는거 진짜 곤욕스럽습니다.
비스듬하게 누워있거나 완전 매복된 경우에는 잇몸을 절개해 뼈를 일부 갈아낸 후 치아를 조각내어 적출하기도 합니다.
사랑니 발치 비용
사랑니 발치 비용은 치과병원이나 대학병원에 따라서 금액이 조금씩 차이가 있다고 합니다. 그리고 난이도에 따라 가격이 조금 차이 날 수 있다고 합니다. 아무래도 누워있는 매복 사랑니는 뽑기 힘드니 가격대가 조금 더 붙겠죠? 평균적인 가격은 약 50,000원이라고 합니다.
https://www.hira.or.kr/main.do
건강보험심사평가원
facebook 우리 동네 좋은 병원 미담 발굴 프로젝트 [공모주제] (주제1) 적정진료, 지역 내 의료, 중증/응급진료 등을 경험했거나 제공한 사례 (주제2) 병원 평가 정보를 이용하여 질 좋은 의료 서비스
www.hira.or.kr
여기 사이트에서도 가격 확인이 가능하니 한번 확인해보세요.
'정보' 카테고리의 다른 글
| 청년도약계좌란? 신청대상, 방법, 청년희망적금 중복? (1) | 2023.10.14 |
|---|---|
| 2023년 전국민 일상지원금 신청방법 (0) | 2023.10.14 |
| 아이폰15프로 총정리 사전예약 (색상, 가격, 무게, 카메라) (1) | 2023.10.12 |
| 아이폰&안드로이드 이모티콘 복사 (0) | 2023.09.19 |
| 손 없는 날 뜻 정리(9월 손 없는 날) (0) | 2023.09.05 |