사랑니 발치 비용
치아 중 가장 안쪽에 위치해 있는 사랑니는 입 안에서
가장 늦게 자라나는 치아로 사랑을 경험하는 나이즈음에
생긴다고 해서 사랑니라고 불립니다. 전문의학 용어로는
제 3대구치 또는 지치라고 불립니다. 사랑니를 꼭 뽑아야할까요?
불완전하게 맹출되거나 염증 충치가 심하게
진행되지 않았다면 굳이 발치할 필요는 없다고 합니다.

가끔 어금니가 파절되거나 손실되는 경우나
치료가 시급하거나 충치로 인해 어금니가 손상되었을 경우
자가치아이식술을 시행하게되는데, 이때 사랑니를 옮겨 심으면
자가치아를 사용하기 때문에 치료비용과 기간이 줄어들며
90%이상의 높은 성공률을 보인다고 합니다.
굳이 사랑니를 뽑아낼 필요는 없다는 말입니다.

하지만 사랑니 주위에 염증이 발생하거나
통증, 두통이 동반되거나 충치가 많이 진행된 경우는 다릅니다.
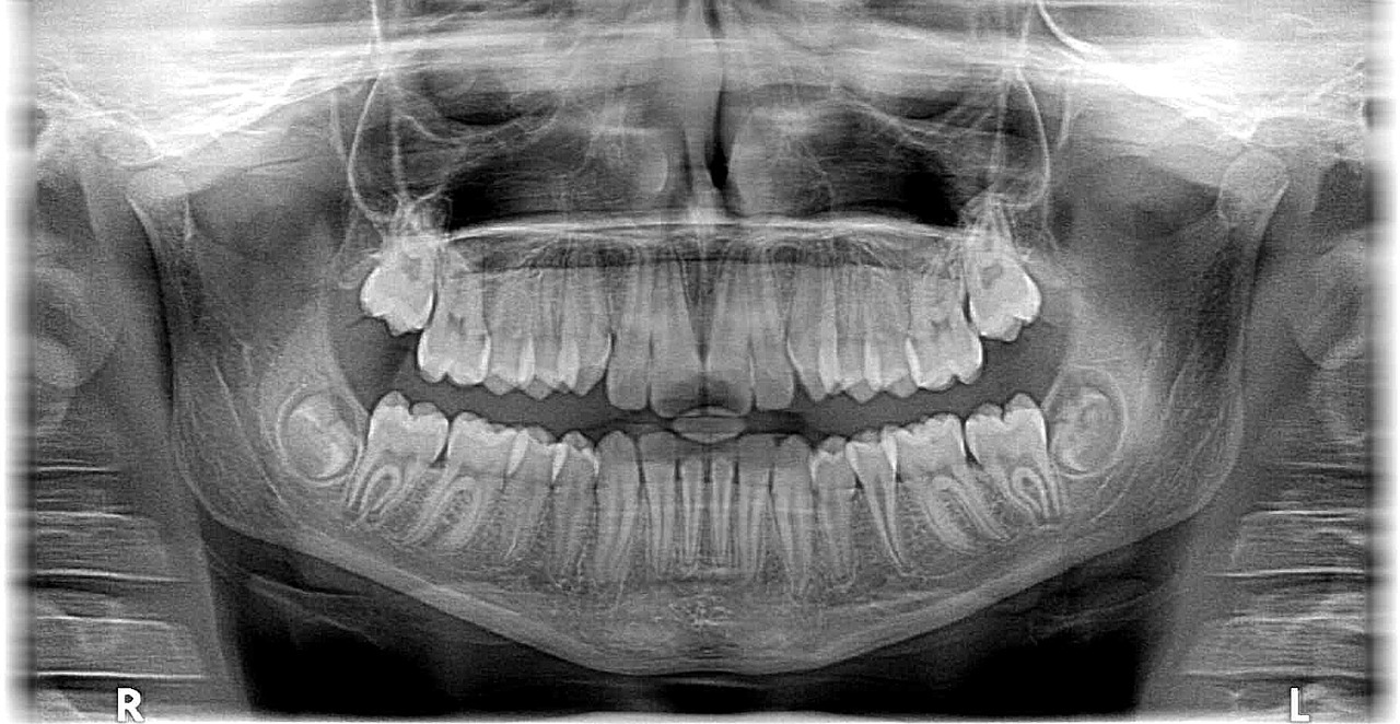
그리고 위 사진과는 다르게 치아가 똑바르게 나지않고
기울거나 누워있는 경우에는 발치를 하는 것이 바람직하다고 합니다.

위 사진은 제 치아사진입니다.
얼마전 치아사이에서 냄새와 충치 때문에 치과에
방문했는데 사진 찍어보시더니 충치보다는
사랑니가 문제라고 말씀하시더라고요.
사진으로 보는 왼쪽이 사랑니가 누워있는데
이렇게 되면 사랑니가 어금니를 밀어낸다고하더라고요.
그렇게 되면 치아배열도 엉망이되고
그리고 제일 중요한게 사랑니를 덮고있던
잇몸이 음식물 씹다가 떨어져나갔는데
사랑니와 어금니사이에 자꾸 음식물이 끼더라고요.
그 문제도 있고, 어금니에 충치가 있는데
사랑니로 옮겨가도 문제고 사랑니에 충치가
생기는 것도 문제고 해서 하루빨리 뽑는게 좋다고 하더라고요.
저와 비슷한 경우라면
빨리 뽑아내시는게 좋을 것 같아요.


(치료시기를 미루다 잘못하면 어금니까지 발치해야하는
상황이 올 수도 있다고 합니다)

사랑니 발치 비용은 치과병원이나 대학병원에 따라서
금액이 조금씩 차이가 있고 제일 중요한건 사랑니가 어떻게 났느냐
사랑니 발치의 경우 치아의 형태에 따라서 비용이 달라질 수 있다고 합니다.


발치 난이도가 있는 만큼 비용이 더 올라간다고 합니다.
사랑니 발치 비용의 경우 약 5만원부터 생각하시면 될 것 같아요.
사랑니의 방향이나 상태의 따라서 비용이 달라질 수 있구요.
이번달에는 사랑니를 뽑으려고하는게
괜히 무섭고 그렇네요. 생전 치과를 안다녀서 그런가
사랑니가 고민이거나 아직 한번도 안보셨다면
치과 방문하셔서 사진이라도 한번 찍어보세요.
(판도라의 상자일 수도 있음)
'정보 > 치아' 카테고리의 다른 글
| 레진 치료 비용 알아보기 (0) | 2022.09.14 |
|---|---|
| 충치치료 비용, 충치치료 방법 알아보기 (0) | 2019.05.23 |
| 레진 치료비용 레진 보험적용 알아보기 (1) | 2019.04.11 |
| 아말감 비용 알아보기 (0) | 2019.03.26 |
| 치아 스케일링 가격 알아보기 (0) | 2019.03.10 |